Chia sẻ

Chỉ số BPD trong siêu âm thai là gì?
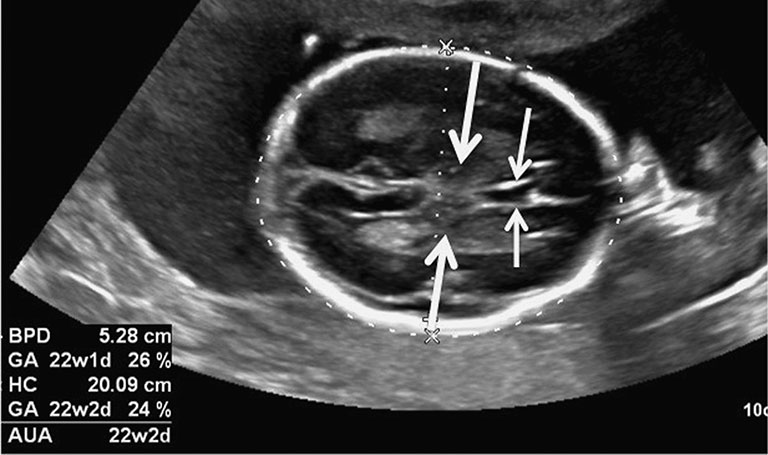
Chỉ số BPD (Biparietal Diameter) trong siêu âm là đường kính lưỡng đỉnh, được đo từ mặt cắt lớn của trán đến phía sau gáy của thai nhi. Có thể coi chỉ số này như đường kính của đầu bé. Nhiều người có thể nhầm lẫn giữa chỉ số BPD và HC, nhưng thực tế hai chỉ số này hoàn toàn khác nhau. Trong khi BPD chỉ đo đường kính của đầu, HC là chu vi của đầu thai nhi.
Chỉ số BPD xác định đường kính của đầu bé
Đo đường kính lưỡng đỉnh (chỉ số BPD trong siêu âm) để làm gì?
Ứng dụng phổ biến nhất của chỉ số BPD là:
- Tính toán tuổi thai.
- Ước lượng trọng lượng của thai nhi.
- Đánh giá sự phát triển của thai nhi.
- Theo dõi sự hoàn thiện của vùng đầu và não bộ.
Bên cạnh đó, chỉ số BPD cũng liên quan chặt chẽ đến kích thước đầu của bé và kích thước xương chậu của mẹ. Bác sĩ sẽ sử dụng thông tin này để đánh giá kích thước thai nhi và tư vấn phương thức sinh cho mẹ bầu. Nếu thai nhi có trọng lượng vượt quá 4kg, bác sĩ có thể chỉ định sinh mổ.
Khi nào đo chỉ số BPD trong siêu âm của thai nhi?
Bác sĩ có thể bắt đầu đo đường kính lưỡng đỉnh BPD trong siêu âm từ tuần thứ 13 của thai kỳ. Dữ liệu này sẽ được ghi nhận liên tục trong các lần khám sau. Nhiều nghiên cứu cho rằng chỉ số BPD đạt độ chính xác cao nhất khi thực hiện trong khoảng từ tuần 13 đến 20, thời điểm mà đầu của thai nhi đang phát triển mạnh mẽ, thuận lợi cho việc đánh giá. Nếu đo chỉ số này khi thai lớn hơn, độ chính xác có thể bị giảm.
Cách tính cân nặng dựa vào đường kính lưỡng đỉnh BPD trong siêu âm
Trọng lượng thai nhi có thể tính dựa trên chỉ số BPD trong siêu âm thai như sau:
- Cân nặng (kg) = (BPD - 60) x 100
- Cân nặng (g)= 88.69 x BPD - 5062
Trong đó, BPD là đường kính lưỡng đỉnh (mm).
VD: Với BPD= 85mm thì cân nặng thai nhi = (85 - 60) x100 = 2.5 (kg).
Hoặc cân nặng thai nhi = 88.69 x 85 - 5062 = 2.476,65 (g)
Cách tính tuổi thai dựa vào chỉ số BPD trong siêu âm thai
Mẹ có thể tính tuổi thai nếu biết chỉ số BPD theo công thức sau:
- BPD = 2x => Tuổi thai kỳ = 2 x 4 + 5
- BPD = 3x => Tuổi thai kỳ = 4 x 3 + 3
- BPD = 4x => Tuổi thai kỳ = 2 x 4 + 2
- BPD = 5x => Tuổi thai kỳ = 4 x 1 + 1
- BPD = ( 6 - 9x ) => Tuổi thai kỳ = 4 x ( 6 - 9 )
Bảng theo dõi chỉ sổ BPD thai nhi theo tuần

Chỉ số đường kính lưỡng đỉnh bao nhiêu là bình thường?
Chỉ số đường kính lưỡng đỉnh bao nhiêu là bình thường?
Chỉ số BPD trong siêu âm thai sau tuần thứ 12 cho đến hết thai kỳ rơi vào khoảng 88 - 100mm, trung bình là 94mm thì được cho là bình thường.
Bảng theo dõi chỉ số BPD của thai nhi theo tuần tuổi
Mẹ có thể quan sát đường kính lưỡng đỉnh của thai nhi qua mỗi lần siêu âm theo số liệu tiêu chuẩn dưới đây (*):
Câu hỏi liên quan
Chỉ số BPD trong siêu âm thai nhi bất thường thì sao?
Có hai trường hợp chỉ số BPD của thai nhi được cho là bất thường:
- Chỉ số BPD cao hơn bình thường tức thai nhi có phần đầu lớn. Để bảo đảm an toàn cho mẹ và bé, chỉ định sinh mổ có thể được đưa ra, nhất là với mẹ lần đầu sinh con. Nếu các chỉ như AC, HC,... trong siêu âm đều cao hơn tiêu chuẩn có thể là dấu hiệu của hiện tượng tiểu đường thai kỳ.
- Chỉ số BPD nhỏ hơn bình thường thì thai nhi có nguy cơ bị chậm phát triển hoặc phần đầu thai nhi phẳng hơn các bạn cùng trang lứa.
Nhìn chung, nếu chỉ số đường kính lưỡng đỉnh vượt ngưỡng tiêu chuẩn, bác sĩ sẽ tiến hành các xét nghiệm chuyên sâu hơn để kiểm tra sức khỏe thai nhi. Ví dụ như siêu âm, chọc ối,...
Mặt khác, chẩn đoán không thể chỉ dựa trên chỉ số BPD trong siêu âm thai. Chuyên gia sẽ xem xét các dữ liệu khác như chiều dài xương đùi, chu vi vòng đầu,... để đánh giá tình hình hệ thống não bộ của thai nhi.
Mẹ bầu cần làm gì để điều chỉnh chỉ số BPD trong siêu âm thai về tiêu chuẩn?
Để điều chỉnh chỉ số BPD về tiêu chuẩn, mẹ bầu có thể thực hiện theo các đầu mục sau:
- Khám thai đúng lúc, đầy đủ, đúng theo chỉ định
- Thực hiện tiêm phòng uốn ván cho sản phụ và thai nhi từ tuần thứ 20 của thai kỳ: Tiêm đầy đủ 2 mũi, mỗi mũi cách nhau 1 tháng. Hoàn thành xong 1 tháng trước sinh.
- Vận động và nghỉ ngơi hợp lý để tăng cường tuần hoàn máu cho thai nhi
- Bổ sung các thực phẩm chứa nhiều đạm như ngũ cốc, đậu phộng, bông cải xanh, cá hồi, ức gà, trứng,...
- Bổ sung các loại thịt đỏ, rau xanh giàu sắt như thịt lợn, thịt bò, thịt cừu, rau bina, đậu phụ, socola đen,...
- Bổ sung canxi từ sữa và các chế phẩm từ sữa như sữa, sữa chua, phô mai,...
- Uống vitamin tổng hợp bổ sung cho phụ nữ có thai
Bên cạnh đó, nếu bệnh nhân phát hiện bất kỳ các dấu hiệu bất thường nào khác, hãy đến ngay cơ sở y tế gần nhất để được phối hợp điều trị.
Có thể nói, chỉ số BPD trong siêu âm thai là một trong các chỉ số không thể thiếu để đánh giá về kích thước vùng đầu và sự phát triển của thai nhi. Để được hỗ trợ tốt nhất, mẹ hãy lựa chọn các Bệnh viện có điều kiện tốt để tận dụng tối đa ý nghĩa của chỉ số đường kính lưỡng đỉnh khi siêu âm. Để tìm hiểu thêm về các chỉ số siêu âm thai nhi, mẹ có thể tìm đọc thêm tại danh mục “Ý nghĩa các chỉ số” của Hebela Care.
Chia sẻ
Tin mới nhất

Vượt Qua Nỗi Sợ Hãi: Hành Trình Kiếm Tiền Của Mẹ Bỉm Cùng Momigo Affiliate

5 Sai Lầm Mẹ Bỉm Làm Affiliate Thường Gặp Và Cách Tránh

Tiểu đường thai kỳ: Những lưu ý quan trọng mẹ bầu không nên bỏ qua

Những lưu ý quan trọng trước khi làm xét nghiệm tiểu đường thai kỳ mẹ bầu cần biết

Uống đủ nước trong thai kỳ đảm bảo cho sức khỏe mẹ bầu
Chuẩn bị trước sinh: Checklist giúp mẹ an tâm trước ngày đón bé

Chào các mẹ - Nơi chia sẻ về tiền, về cuộc sống, và về những điều thực tế

Thu Nhập Momigo Affiliate: Con Số Thực Tế & Lộ Trình
Theo Dõi Thai Kỳ Đúng Cách – Hành Trình Yêu Thương Giúp Con Phát Triển Vượt Trội
Thực Hành Thai Giáo – Hành Trình Nuôi Dưỡng Bé Yêu Từ Trong Bụng Mẹ
Nuôi Con Khoa Học, Nhàn Tênh Với Ứng Dụng Momigo: Cẩm Nang Cho Mẹ Hiện Đại
Thai Giáo Momigo: Ứng Dụng Thai Giáo Thông Minh Cho Mẹ Bầu Hiện Đại
Hướng Dẫn Sử Dụng Ứng Dụng Momigo: Từ A Đến Z Cho Người Mới Bắt Đầu
Review Momigo: Ưu Nhược Điểm, Có Nên Tải Ứng Dụng Này Không?
Momigo Là Gì? Ứng Dụng Này Dành Cho Ai?
Hướng Dẫn Tải Và Cài Đặt Ứng Dụng Momigo Nhanh Chóng, Đơn Giản
App Momigo: Trợ Thủ Đắc Lực Cho Mẹ Bầu 4.0
Ứng dụng Momigo - Trợ lý cho mẹ trong hành trình mang thai và nuôi con nhỏ
Momigo - Siêu ứng dụng dành cho mẹ và bé

Cách tốt nhất để lấy lại ham muốn tình dục sau khi sinh con

Bí quyết giữ “lửa” tình cảm vợ chồng sau khi sinh

Khô hạn sau sinh khắc phục bằng cách nào?

Không muốn "chuyện ấy" sau sinh: Là bình thường hay bất thường?

Quan hệ tình dục sau khi sinh thường: Những điều cần biết

Sau sinh mổ bao lâu thì quan hệ được? Quan hệ sau sinh mổ cần lưu ý những gì?
Phụ nữ sinh thường bao lâu thì quan hệ được? Cần lưu ý điều gì?

Bí quyết giữ lửa hạnh phúc gia đình sau khi sinh con

Vệ sinh cá nhân cho mẹ sau sinh đúng chuẩn

Hướng dẫn chăm sóc vết mổ/vết khâu tầng sinh môn cho sản phụ tại nhà

Sau sinh thường có nên đi lại nhiều không?
KHUYẾN CÁO
Thông tin tại Cẩm nang Momigo chỉ mang tính chất tham khảo, không được xem là tư vấn y khoa và không nhằm mục đích thay thế cho chẩn đoán, điều trị hoặc ngăn ngừa bệnh tật. Vui lòng tìm hiểu kỹ và yêu cầu tư vấn từ bác sĩ hoặc chuyên gia y tế trước khi thực hiện theo bất kỳ hướng dẫn nào tại Cẩm nang Momigo









