|
Chỉ số PI trong siêu âm thai là gì? Các thông tin về siêu âm thai Doppler
13-11-2024
Chia sẻ
Nhiều mẹ bầu thường đặt câu hỏi: "Chỉ số PI trong siêu âm thai là gì?" Đây là một trong những chỉ số quan trọng khi thực hiện siêu âm Doppler. Để hiểu rõ hơn về chỉ số này, mời bạn đọc theo dõi bài viết dưới đây của Hebela Care nhé!

Chỉ số PI trong siêu âm thai là gì?
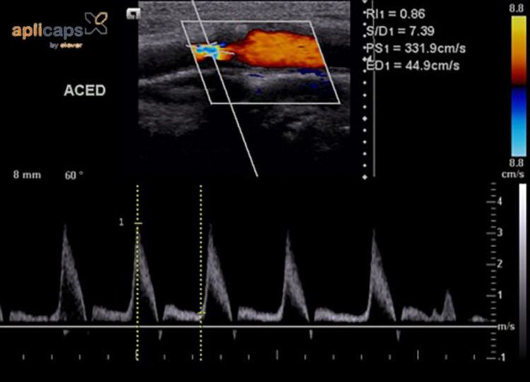
Chỉ số PI (pulsatility index) trong siêu âm thai Doppler là chỉ số phản ánh nhịp đập của động mạch. Kỹ thuật này được sử dụng để đánh giá lưu lượng máu và tốc độ truyền máu tại các vị trí như động mạch não giữa, tim, rốn và động mạch tử cung. Thông qua những chỉ số này, bác sĩ có thể xác định mức độ cung cấp oxy và dinh dưỡng từ mẹ đến thai nhi, từ đó chẩn đoán tình trạng phát triển của thai nhi trong tử cung.

Chỉ số PI cho biết nhịp đập của động mạch thai nhi
Chỉ số PI (pulsatility index) trong siêu âm thai Doppler là chỉ số phản ánh nhịp đập của động mạch. Kỹ thuật này được sử dụng để đánh giá lưu lượng máu và tốc độ truyền máu tại các vị trí như động mạch não giữa, tim, rốn và động mạch tử cung. Thông qua những chỉ số này, bác sĩ có thể xác định mức độ cung cấp oxy và dinh dưỡng từ mẹ đến thai nhi, từ đó chẩn đoán tình trạng phát triển của thai nhi trong tử cung.

Chỉ số PI cho biết nhịp đập của động mạch thai nhi
Trong quá trình phát triển, thai nhi phụ thuộc vào oxy và dưỡng chất được truyền qua nhau. Khi thai lớn lên, nhu cầu về máu của mẹ cũng tăng lên. Nếu siêu âm ghi nhận chỉ số PI thấp hơn mức chuẩn, điều này cho thấy lượng máu cung cấp cho thai nhi không đủ, dẫn đến tình trạng thiếu dưỡng chất. Thiếu dinh dưỡng có thể gây suy dinh dưỡng ở thai nhi, ảnh hưởng đến sự phát triển và sức khỏe. Nếu tình trạng này kéo dài mà không được xử lý kịp thời, trẻ sinh ra có nguy cơ bị chậm phát triển trí tuệ và có thể dẫn đến tử vong.
Chỉ số PI thấp hoặc cao hơn bình thường có sao không?
Cả chỉ số PI thấp và cao đều là dấu hiệu cảnh báo các vấn đề sức khỏe tiềm ẩn. Nếu chỉ số PI thấp hơn mức bình thường cho tuổi thai, điều này cho thấy lưu lượng máu từ mẹ đến thai nhi không đủ. Kết quả là thai nhi có thể gặp phải các vấn đề về sức khỏe do thiếu dinh dưỡng.
Ngược lại, chỉ số PI cao lại cho thấy mẹ bầu có thể đang gặp rủi ro. Trong giai đoạn giữa thai kỳ, nếu chỉ số PI cao, mẹ có thể bị tiền sản giật hoặc thai nhi trong bụng bị hạn chế phát triển. Nếu đến tuần 34 mà chỉ số này vẫn cao, nguy cơ suy thai, trẻ sơ sinh có thể bị nhiễm toan máu hoặc sản giật muộn sẽ tăng đáng kể.
Mẹ bầu cần thực hiện siêu âm Doppler khi nào?
Thông thường, siêu âm Doppler để đo chỉ số PI được thực hiện khi thai được 6 tháng, thời điểm mà các cơ quan của thai nhi đã phát triển đầy đủ. Từ đó, bác sĩ có thể đánh giá chính xác tình trạng phát triển của bé. Tuy nhiên, không phải tất cả mẹ bầu đều cần thực hiện đo chỉ số PI. Chỉ những trường hợp đặc biệt dưới đây mới được chỉ định:
- Thai nhi có dấu hiệu chậm phát triển.
- Nồng độ Rh không tương thích.
- Mẹ bầu có lượng nước ối thấp.
- Trường hợp sinh đôi cùng trứng.
- Mẹ mang đa thai.
- Mẹ bầu có cân nặng quá thấp.

Siêu âm Doppler đánh giá chính xác tình trạng phát triển của thai nhi
Có nhiều loại siêu âm Doppler khác nhau, và bác sĩ sẽ quyết định loại siêu âm phù hợp cho từng mẹ bầu dựa trên tình trạng của họ.
Các loại siêu âm thai Doppler
Siêu âm Doppler bao gồm các loại sau đây:
- Siêu âm Doppler động mạch tử cung: Phương pháp này giúp xác định tình trạng phát triển của thai nhi bằng cách đo lưu lượng máu qua động mạch tử cung, từ đó phát hiện dấu hiệu chậm phát triển do thiếu dinh dưỡng.
- Siêu âm Doppler động mạch rốn: Bác sĩ chỉ định siêu âm này để đánh giá sự phát triển của thai nhi, đặc biệt là trong trường hợp mẹ mang đa thai. Kỹ thuật này cũng đo lưu lượng máu qua dây rốn để kiểm tra sự tương thích giữa kháng thể Rh trong máu mẹ và thai nhi.
- Siêu âm Doppler động mạch não giữa: Siêu âm này sẽ cung cấp thông tin chi tiết về tình trạng sức khỏe của thai nhi nếu kết quả từ siêu âm động mạch rốn không bình thường. Bác sĩ sẽ tư vấn và điều trị nếu phát hiện thai nhi bị thiếu oxy hoặc dinh dưỡng.
- Siêu âm Doppler tim thai: Phương pháp này được thực hiện khi có nghi ngờ về các vấn đề tim mạch ở thai nhi, như hẹp hoặc hở van tim. Mẹ bầu cũng có thể chủ động thực hiện để phát hiện các dị tật về tim mạch trước khi bé ra đời.
Qua bài viết này, mẹ bầu đã có cái nhìn rõ hơn về chỉ số PI trong siêu âm thai cũng như các thông tin liên quan đến siêu âm Doppler. Hiện nay, nhờ các tiến bộ trong y học, nhiều phương pháp sàng lọc đã ra đời, giúp phát hiện sớm các dị tật và bệnh lý bẩm sinh ở thai nhi. Mẹ bầu nên chú ý thực hiện đầy đủ các xét nghiệm để nắm rõ tình trạng sức khỏe của thai nhi, từ đó có những biện pháp can thiệp kịp thời khi cần thiết.
13-11-2024
Chia sẻ
Thông tin tham khảo
Tin mới nhất

Vượt Qua Nỗi Sợ Hãi: Hành Trình Kiếm Tiền Của Mẹ Bỉm Cùng Momigo Affiliate

5 Sai Lầm Mẹ Bỉm Làm Affiliate Thường Gặp Và Cách Tránh

Tiểu đường thai kỳ: Những lưu ý quan trọng mẹ bầu không nên bỏ qua

Những lưu ý quan trọng trước khi làm xét nghiệm tiểu đường thai kỳ mẹ bầu cần biết

Uống đủ nước trong thai kỳ đảm bảo cho sức khỏe mẹ bầu
Chuẩn bị trước sinh: Checklist giúp mẹ an tâm trước ngày đón bé

Chào các mẹ - Nơi chia sẻ về tiền, về cuộc sống, và về những điều thực tế

Thu Nhập Momigo Affiliate: Con Số Thực Tế & Lộ Trình
Theo Dõi Thai Kỳ Đúng Cách – Hành Trình Yêu Thương Giúp Con Phát Triển Vượt Trội
Thực Hành Thai Giáo – Hành Trình Nuôi Dưỡng Bé Yêu Từ Trong Bụng Mẹ
Nuôi Con Khoa Học, Nhàn Tênh Với Ứng Dụng Momigo: Cẩm Nang Cho Mẹ Hiện Đại
Thai Giáo Momigo: Ứng Dụng Thai Giáo Thông Minh Cho Mẹ Bầu Hiện Đại
Hướng Dẫn Sử Dụng Ứng Dụng Momigo: Từ A Đến Z Cho Người Mới Bắt Đầu
Review Momigo: Ưu Nhược Điểm, Có Nên Tải Ứng Dụng Này Không?
Momigo Là Gì? Ứng Dụng Này Dành Cho Ai?
Hướng Dẫn Tải Và Cài Đặt Ứng Dụng Momigo Nhanh Chóng, Đơn Giản
App Momigo: Trợ Thủ Đắc Lực Cho Mẹ Bầu 4.0
Ứng dụng Momigo - Trợ lý cho mẹ trong hành trình mang thai và nuôi con nhỏ
Momigo - Siêu ứng dụng dành cho mẹ và bé

Cách tốt nhất để lấy lại ham muốn tình dục sau khi sinh con

Bí quyết giữ “lửa” tình cảm vợ chồng sau khi sinh

Khô hạn sau sinh khắc phục bằng cách nào?

Không muốn "chuyện ấy" sau sinh: Là bình thường hay bất thường?

Quan hệ tình dục sau khi sinh thường: Những điều cần biết

Sau sinh mổ bao lâu thì quan hệ được? Quan hệ sau sinh mổ cần lưu ý những gì?
Phụ nữ sinh thường bao lâu thì quan hệ được? Cần lưu ý điều gì?

Bí quyết giữ lửa hạnh phúc gia đình sau khi sinh con

Vệ sinh cá nhân cho mẹ sau sinh đúng chuẩn

Hướng dẫn chăm sóc vết mổ/vết khâu tầng sinh môn cho sản phụ tại nhà

Sau sinh thường có nên đi lại nhiều không?
KHUYẾN CÁO
Thông tin tại Cẩm nang Momigo chỉ mang tính chất tham khảo, không được xem là tư vấn y khoa và không nhằm mục đích thay thế cho chẩn đoán, điều trị hoặc ngăn ngừa bệnh tật. Vui lòng tìm hiểu kỹ và yêu cầu tư vấn từ bác sĩ hoặc chuyên gia y tế trước khi thực hiện theo bất kỳ hướng dẫn nào tại Cẩm nang Momigo









